
Aneurisma
Che cos'è l'aneurisma?
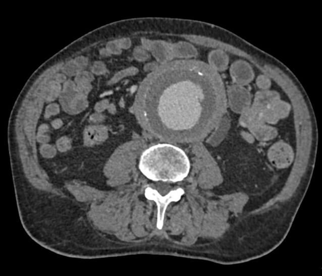
Un aneurisma è una dilatazione permanente e localizzata di un’arteria, causata dal danneggiamento delle sue pareti che perdono elasticità e forza. Quando questo accade, sotto la pressione del sangue, il vaso si allarga lentamente. Se questa dilatazione continua, può portare alla rottura dell’arteria.
Fattori di rischio principali:
storia familiare
ipertensione
fumo
elevati livelli di colesterolo
aterosclerotiche
diabete
vasculiti


Quali sono i sintomi:
Spesso l’aneurisma dell’aorta addominale non dà sintomi e viene scoperto per caso durante controlli per altri motivi. Quando presenti, i sintomi possono essere dolore profondo e persistente nella parte bassa della schiena o pulsazioni avvertite nell'addome.
Se l’aneurisma si rompe, si manifestano gravi sintomi come forte dolore addominale o alla schiena, anemia e calo improvviso della pressione sanguigna a causa dell’emorragia interna. Questa condizione richiede immediato ricovero ospedaliero perché può essere fatale se non trattata rapidamente.


Diagnosi:
Chi presenta fattori di rischio dovrebbe sottoporsi periodicamente a visite specialistiche e a controlli tramite eco-color Doppler per monitorare il diametro dell’aorta.
Nel caso di dubbi o approfondimenti diagnostici, può essere eseguita una tomografia computerizzata (TC) con mezzo di contrasto


Il trattamento:
Se l’aneurisma è inferiore ai 5 cm, il trattamento è generalmente conservativo, con medicinali per abbassare la pressione e correzioni dello stile di vita, come smettere di fumare e ridurre il colesterolo. Si eseguono controlli periodici (ogni 3-6 o 12 mesi) per monitorare le dimensioni dell’aneurisma.
Se l’aneurisma supera i 5-5,5 cm e il rischio di rottura aumenta, diventa necessario un intervento chirurgico. Le opzioni chirurgiche sono due:
Chirurgia tradizionale aperta: prevede anestesia generale, dura da 2 a 4 ore, e richiede un ricovero ospedaliero di 5-8 giorni. È efficace ma comporta un rischio operatorio del 2-5%, maggiore nei pazienti con problemi di salute aggiuntivi. È preferita in pazienti più giovani o con meno complicazioni.
Chirurgia endovascolare: è meno invasiva, eseguita con anestesia epidurale, e dura da 2 a 3 ore, con un ricovero di 4-5 giorni.
La scelta tra questi trattamenti dipende dalle condizioni generali del paziente, dall'anatomia, dalla presenza di altre malattie, e dalla grandezza, velocità di crescita e forma dell’aneurisma.


Contatti
vercelli76@gmail.com
Copyright © 2026 Andrea Vercelli Md
Specialista in chirurgia vascolare
Ordine dei Medici di Pavia n° 08054